Ортодонтия – Исправьте свою улыбку и улучшите здоровье полости рта на долгие годы
Ортодонтия – это не только о красивой и ровной улыбке, но и об общем здоровье зубов и челюсти. В стоматологической клинике Dr. Romaniuc мы предлагаем современные и индивидуализированные ортодонтические процедуры, которые улучшают не только внешний вид, но и функциональность зубов. Правильно выровненная улыбка поможет избежать множества стоматологических проблем в долгосрочной перспективе, таких как кариес, заболевания дёсен и нарушения жевательной функции.
Независимо от того, ребёнок вы, подросток или взрослый, наши ортодонтические процедуры адаптированы для каждого пациента, независимо от возраста. Современные брекеты стали гораздо более комфортными и эстетичными по сравнению с прошлым, так что вы можете исправить положение зубов без компромиссов в отношении внешнего вида.
Почему стоит выбрать ортодонтию?
- Более эстетичная улыбка и уверенность в себе: Правильно выровненные зубы не только выглядят лучше, но и дарят вам уверенность улыбаться от всей души.
- Улучшенное здоровье полости рта: Ровные зубы легче чистить и поддерживать, что снижает риск кариеса и заболеваний дёсен.
- Исправление прикуса: Неправильный прикус может вызывать проблемы с жеванием, боли в челюсти и даже проблемы с суставами. Ортодонтия исправляет эти аномалии, обеспечивая оптимальную функциональность зубов.
Типы брекетов:
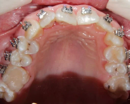
- Традиционные металлические брекеты: Это эффективное и доступное решение, идеально подходящее для исправления более сложных стоматологических проблем.
- Керамические брекеты: Эти брекеты работают так же, как и металлические, но они более незаметны благодаря цвету, который сочетается с цветом зубов.
- Невидимые брекеты (элайнеры): Если вы ищете эстетичное и удобное решение, невидимые элайнеры станут отличным выбором. Эти прозрачные капы выравнивают зубы, оставаясь практически незаметными и обеспечивая комфорт и гибкость.
Как проходит ортодонтическое лечение? На первой консультации врач-ортодонт оценит ваши зубы и составит индивидуальный план лечения в зависимости от выявленных проблем. Врач порекомендует наиболее подходящий для вас тип брекетов. После начала лечения вам предстоят регулярные визиты для корректировки брекетов, а результаты станут заметны уже через несколько месяцев.
Комфорт и незаметность: Современные брекеты разработаны таким образом, чтобы быть максимально комфортными, а некоторые из них, такие как элайнеры, практически невидимы. Во время лечения вы будете получать постоянную поддержку от нашей команды, чтобы каждый этап был как можно более приятным и лёгким.
Долгосрочные результаты: Ортодонтия не только улучшает эстетику улыбки, но и обеспечивает оптимальную функциональность зубов. Правильный прикус и выровненные зубы помогут вам поддерживать здоровье полости рта на долгие годы, предотвращая возникновение будущих стоматологических осложнений.
Выбирайте ортодонтию в стоматологической клинике Dr. Romaniuc и наслаждайтесь красивой и здоровой улыбкой каждый день, на протяжении всей жизни.







